가끔 자녀들이 컴퓨터 하시는 모습을 보면서 아이의 자세 때문에 걱정 하시는 부모님들이 많으실텐데요 저도 부모님 한테 “아이고 목빠지겠다 자세좀 바로 잡고 봐라” 했던 잔소리를 들어 본적이 있습니다.
거북목 증후군(Cervical Hypolordosis syndrome) 이란 잘못된 자세나 과거의 트라우마 등에 의해 거북이 처럼 머리가 앞으로 나오며 목뼈의 형태가 일자목 또는 역 커브의 형태로 변형되어 목과 어께 그리고 등에에 통증을 유발하는 질환 입니다. 거북목 증후군 환자들이 가장 많이 호소하는 것이 뒷목 땡김, 두통 어께 와 등에 통증을 호소 하는데요. 스마트폰과 컴퓨터를 대부분에 사람들이 쓰고 있기때문에 거북목 증후군 환자가 급격하게 늘고 있는 현실입니다.
거북목 신드롬의 원인으로는 바르지 못한 자세와 교통사고등 사고 후휴증으로 인한 이탈구(Subluxation) 등이 있는데요. 잘못된자세와 사고로 인한 이탈구는 뼈와 근육에 손상을 주게 되어 목 커브의 변형을 일으키게 되어 목과 등근육에 무리를 주게 되어 통증을 유발합니다.
거북목은 집에서 간단하게 셀프 진단을 해볼수 있는데요.가족 분들중 혹시 거북목이 의심되는 분들이 계시다면 꼭 한번 체크해보시기 바랍니다.

위에 사진에서 보듯이 보통 2.5센티미터가 거북목 진단의 기준인데요. 옆에서 보았을때 귀와 어께를 선으로 이었을때 일자이여야 정상입니다. 만약 1센치 이상 앞으로 나와 있다면 거북목이 진행중이므로 검사를 받아 보셔야 합니다. 목이 1센티 미터 앞으로 빠질때 마다 2-3Kg 하중이 목에 더 걸리게 됩니다. 그렇게 되면 거북목 환자들은 일반 사람보다 약 10kg의 하중을 목으로 더 감당해야 합니다. .
사무직 직장인들과 학생들은 주로 책상에 않아서 고개를 숙이는 좋지 않은자세로 일을하고 공부를 합니다. 사람의 머리 무게가 약 7kg 이며 10kg의 하중이 가중되어 하루에 8시간이상씩 같을 자세로 15kg 이상의 무게를 목이 감당해야 한다면 당연히 무리게 되겠죠? 이러한 좋지 않은 자세로 장시간 보내게 되면 거북목 신드롬에 걸릴 확률이 높아 집니다.

위에 보이는 엑스레이는 정사적인 목 커브와 거북목 증후군을 앓고 있는 환자의 엑스레이를 비교해 놓은 것인데요 오른쪽이 정상적인 커브의 목이고 왼쪽은 커브가 많이 줄어 들어 있는 상태 입니다. 그러나 위의 엑스레이의 환자분 상태는 양호한 편에 속합니다. 이정도 상태의 환자 분들은 심한 통증보다는 뻐근함과 피로함 정도를 호소 하게 됩니다. 이러한 경우 자세교정과 운동을 통하여 어느정도 회복과 예방이 가능합니다. 하지만 예방을 하지 않고 이대로 계속 나쁜 습관과 함께 진행 된다면 심각한 상황을 초래 할수 있습니다.

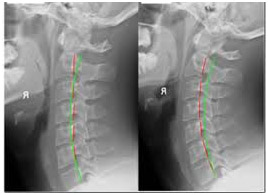
위의 두 엑스레이는 조금더 심각한 상태의 거북목 증후군 환자의 사진인데요. 거북목 환자의 교통사고 전후를 비교해 놓은 사진 입니다. 왼쪽 사진은 일자목 상태의 교통사고 전이 상태이고 오른쪽은 교통사고 후의 상태 입니다. 보시면 아시겠지만 이미 거북목 증후군을 앓고 있는 분이 교통사고가 났을때는 조금서 심각한 문제를 초래 할수 있습니다. 오른쪽 사진에서 보듯이 커브가체가 아예 역으로 변형이 되어 버린 상태입니다. 이러한 상태는 사고로 인해 목뼈 뒤분을 잡고 있는 인대의 손상과 뼈사이사이의 디스크 손상을 동반한 상태 입니다.
이러한 거북목 신드롬은 어떤 문제를 야기 시킬까요? 아까 말씀 드렸듯이 성인 남성의 머리 무게게 7kg 이며 볼링공 무게와 비슷한데요. 볼링공을 들때 저러한 형태로 든다면 얼마나 팔이 아플지 상상이 가시죠? 이렇한 무게를 목이 감당하고 있다면 다연히 목이 아프고 힘들수 밨에 없습니다.이러한 상태로 방치하게 되면 우리몸은 하중의 무게를 견디기 위해 뼈의 변형을 일으킵니다. 중력에 적응하기 위해 원래 사각형인 뻐는 사리다꼴 모양으로 변하게 됩니다.
이러한 뼈에 변형을 뇌에서 팔로 내려가는 신경을 누르게 되고 뼈사이사이에 디스크에 무리를 주게 되어 디스크가 티어나오게 되어 우리가 흔히들 말하는 목디스크 즉 추간판 탈출증(Disc herniation) 이 생기게 되며 신경적 손상을 일으키기도 합니다. 그러면 팔이 저리고 감각이 무뎌지는 증상이 생기며 통증또한 점점 심해집니다.. 이러한 상태 까지 진행이 되면 수술을 해야 되는 상황까지도 갈수도 있으니 미리미리 예방하는게 좋겠죠?
그럼 어떻게 해야 거북목 증후군을 예방할수 있을까요? 평소에 항상 바른 자세를 유지하는게 중요합니다. 허리와 목을 일자로 쭉 펴고 어께를 펴고 정자세로 않는것이 중요합니다. 컴퓨터를 사용할때는 모니터를 왠만하면 눈높이 보다 높게 설치하여 항상 고개를 숙여서 보지 않는 습관이 좋습니다. 장시간 않아 있어야 할경우 30분마다 일어나셔서 스트레칭으로 몸을 풀어 주시는것이 좋습니다. 그리고 아침 저녁으로 목을 스테레칭 해주시고 한쪽 어께에 무리가 가는 무거운 짐이나 가방은 피하시는것이 좋습니다.
만약 셀프테스트를 헤보았는데 목이 어께선 보다 앞으로 나와 있다거나 평소에 어께가 결리고 손이 저린다든지 목이 뻐근하고 뒷골이 댕기는 증상이 있으면 병원을 찾으셔서 정확한 X-ray 검진후 진단을 받아 보시고 치료를 받으셔야 합니다.

Leave a Reply